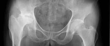
発症から現在まで &レントゲン・MRI お気楽ではない レントゲン・MRI  2007年10月 クリックすると拡大して見れます。(別画面でひらきます) 2008年3月 2009年1月のレントゲンはここから骨棘(こつきょく)の状態が確認できます。 2012年4月のレントゲンはここから骨嚢胞(こつのうほう)が確認できます。 MRIはこちらから  発症から現在まで 2008年末まで 2011年末まで(表示中) 2009年末まで 2017年末まで 2010年末まで 2025年末まで
発症からの時期区分 |
現れた症状 |
うさぎがやったこと |
発症から4年目に入って 教訓 継続はちからなり |
2011年1月〜6月 |
2011年は3月11日に東日本大震 災もあったし、桜の開花も遅く、梅雨 もかなり短かかったり、季節の移り変 わりもどこかおかしくなっているよう に感じます。 年明け早々の1月19日、病院で撮っ たレントゲン、毎回「大きな変化は無 い」と言われてたんです。でも、たま たまなんですが、骨頭が大きく潰れた 2008年3月の写真と比べて診ても らいました。結果は骨頭が更に5ミリ くらい削れていたことが分かりました。 ある時急に削れたのか、3年かかって 少しずつ削れたのかは分かりません。 ちょっとショックでした。 冬の寒さ対策ではショートのレッグウ ォーマーで十分でした。 ですが、2月半ば頃から3月上旬にか けては股関節と右の膝が暫くシクシク としました。やっぱりそれなりに寒さ の影響があったのでしょう。 4月からは、それまで日曜日以外の定 例的な休みは火曜日だったんですが、 それが月曜日に変わりました。毎週5 日間の連続出勤をするようになって、 右膝に痛みが出易くなってしまいまし た。歩くのが辛くなるくらいの痛みで す。多分これからの大きな課題になる と思います。 3年近く続けた加圧トレーニングは昨 年末で中断することになり、代わりに 1月18日からスポーツジムで筋トレ を始めました。基本火曜日、木曜日、 土曜日の週3回です。 メニューは3月になってやっと定型的 なものができましたが、その内容はま た別途報告したいと思います。 それから4月下旬にトレーニングのや り過ぎで右膝を痛めてしまいました。 それからは膝に負担のかかる運動は控 えるようにしています。 |
骨頭が更に削れていたのはショックで したが、これからのことは分かりませ ん。同じように削れていくのかどうか、 注意していくことにするしかないでし ょう。あとはやっぱりできるだけソフ トなランディングを心がけるくらいで すね。 来年1月の写真で、また比べて診ても らうことにします。 寒さ対策では今までやっている対策で 十分効果があるので、何か新しいもの は必要ないと思います。時々シクシク するのは酷くない限り付き合っていく しかないです。 毎週5日間の連続出勤は、なんとか対 策をしないと駄目です。やっぱり家か ら会社まで、朝1番で合計30分くら いの歩きが、膝には負担になるんだと 思います。 これを毎日バスにするのは経済的に辛 いので、できません。なので、2週間 おきくらいに木曜日に有休を取って、 膝を休ませることにしました。 当分はこれで様子見です。 ジムでの筋トレ、今年始めたばかりな んで顕著な効果が出てるわけではあり ません。ですが、何もしてないと筋肉 が衰えて、やがて歩けなくなってしま うことを考えると、その防止には効果 があるはずです。 毎月の状態については、ブログの中の 「筋トレ・数字的変化」カテゴリーを 見てください。 嬉しいことが2つ有りました。 毎日助けられている杖の石突きのゴム。 当初は3ヶ月、その後は4ヶ月で取り 替えないといけなかったんですが、結 局3月末まで、11ヶ月もたせること ができました。勘違いをしてて、11 ヶ月で取り替えてしまいましたが、あ と1ヶ月は十分使える状態でした。 今は4月から使い始めたゴムで12ヶ 月を目指しています。 それからJRの駅の階段。杖無しで、 普通に右脚から上がれるようになりま した。 外出した時の階段としては、JRの駅 の階段が一般的な階段の段差だと思う ので、これはとても嬉しいことです。 みんなやっぱり、加圧トレーニングと ジムでの筋トレを続けてきた成果だと 思います。 |
2011年12月まで |
7月から9月半ばまでは股関節のあた りのシクシクと、膝の痛みが出易かっ たです。 お医者さまの話では、やっぱり暑さが きついと筋肉も厚さに負けて痛みも出 易くなるんだそうです。 8月半ばには強い痛みで動けなくなる こともありました。 それ以外は、夏の暑い時期は気圧も安 定してるし、特に問題はありませんで した。 会社での定例的なお休みの日は、9月 になって結局また火曜日に戻りました。 なので、その方面の心配はなくなりま した。 冬の寒さ、冷え対策ですが、11月中 頃から、ようやく膝ウウォーマーを使 うようになりました。12月からはそ の中にオーラストーンを織り込んだも のを挟んでます。ホッカイロと違って 冷温ヤケドの心配が無いし、同じくら いに温まるので良いですよ。 スパッツは1週間くらいしか使ってい ません。 ジムでの筋トレは10月からマシーン を使った運動を再開しました。 でも、やっぱりマット上での軽い筋ト レが主体で、あまり頑張ってやらない ようにしています。 1年間の状態の推移についてはブログ の「筋トレ・数字的変化」カテゴリー を見てください。その中の「10ヶ月 経って」記事に1年間の数字的変化が 出ています。年の最後の数字ではどの 数字もプラスになることができました。 |
夏の筋肉疲れによる足腰の痛み対策で、 新しい針灸院に1ヶ月ほど通いました。 4回ほどの全身マッサージで大丈夫に なりました。 年が明けた1月のことですが、大学病 院での定例診察でレントゲン撮りまし た。200年3月の写真と比べた記事 をブログで報告しておきました。 やっぱり毎回の写真で大きな変化が見 られなくても、長いスパンの中では変 化があることが分かります。 でも、日常生活に不便や不安を感じる ことは無いし、具体的な支障もありま せん。杖を使わなくても歩けるし、も ちろん杖は使っていますが。それに、 階段も杖を使わずに健常者と同じよう に上がれるし、悲観する材料ではあり ません。 夏場のシクシクとかには、やせ我慢を せず、痛みが出そうだと感じたら、早 めにロキソニンを飲みましたよ。 痛み止めを飲まないことが良い、とい うのは必ずしも格好良いことではない ですね。 おかげで、ロキソニンの消費量は多か ったですけどね。 |
|
|
|
| 2010年末まで(前のページへ) メニュー 2017年末まで(次のページへ) |